- 首頁
- 健康台灣深耕計畫專區
Core Spirit Alignment
不僅是軟體,更完美契合
「健康台灣」三大核心精神
評審委員最在乎的指標,我們都幫您準備好了
優化醫療工作條件
計畫痛點:醫護過勞、重覆性工作繁重。
PanCAD 解方:作為放射科醫師的 AI Copilot,自動預篩影像,大幅減少閱片時間,讓醫師回歸專業決策。
導入智慧科技醫療
計畫痛點:許多 AI 仍停留在論文階段,無法臨床應用。
PanCAD 解方:已完成臨床驗證的成熟產品,能無縫介接醫院 PACS 系統,具備完整的技術規格與資安規範。
醫療資訊架構環境優化
對接指標:社會責任與醫療永續。
PanCAD 解方:透過數位化 AI 預篩機制提升診斷韌性,優化早期癌篩流程,落實精準醫療資源分配。
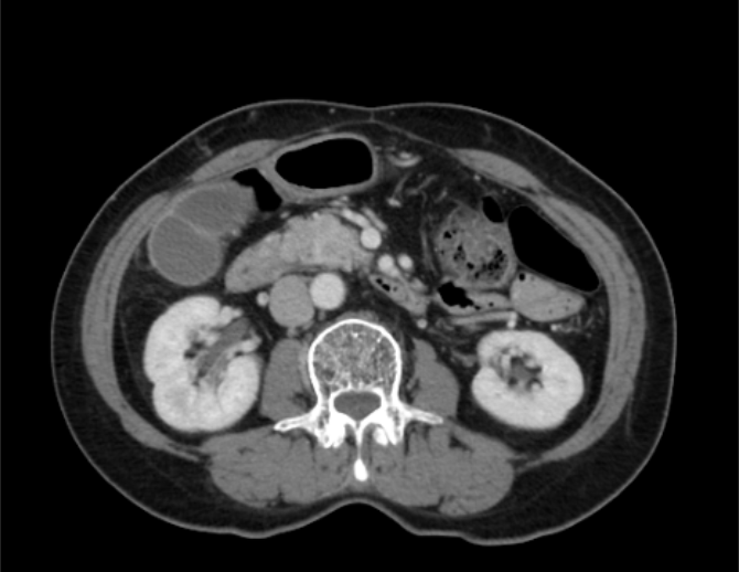
肉眼難以察覺,AI 一眼看見
PANCREASaver® 專注於那些容易被忽略的微小病灶
病灶特徵不明顯,肉眼易疲勞漏看
偵測到早期隱形病灶
* 本案例展示 AI 如何在複雜影像中定位高風險區域,提升早期發現率。

因為成熟,
所以能「即刻落地」
申請深耕計畫最怕「執行率」不佳。PANCREASaver® 具備以下優勢,保證計畫通過後能立即啟動、產出績效。
無痛系統整合
完整支援 DICOM 標準,相容主流 PACS (GE, Siemens, Philips 等),無需更換現有硬體。
資安合規
符合醫療資安規範,資料可地端部署 (On-premise),確保病患隱私不出院內網。
驗證數據完備
提供完整的 Sensitivity/Specificity 臨床測試報告,直接貼上計畫書即可佐證效益。
完整的教育訓練
我們提供放射師與醫師的操作培訓計畫,解決「人才培育」的計畫指標。
用數據證明導入效益
鎖定最難發現的癌王
早期病灶精準偵測
產品已就緒