Unveiling Pancreatic Cancer – PANCREASaver is the first computer-aided diagnostic tool for pancreatic cancer, developed by Professor Wei-Chih Liao from NTU College of Medicine and Professor Wei-Chung Wang from the Institute of Applied Mathematical Sciences. This technology integrates machine learning, radiological feature analysis, and deep learning, combined with clinical data and medical imaging knowledge. Collaborating with NTU Hospital and international medical institutions, it enhances the efficiency of clinical diagnostics.

AI Breakthrough: Unveiling Early Pancreatic Cancer
Revealing the silent killer to improve early treatment outcomes
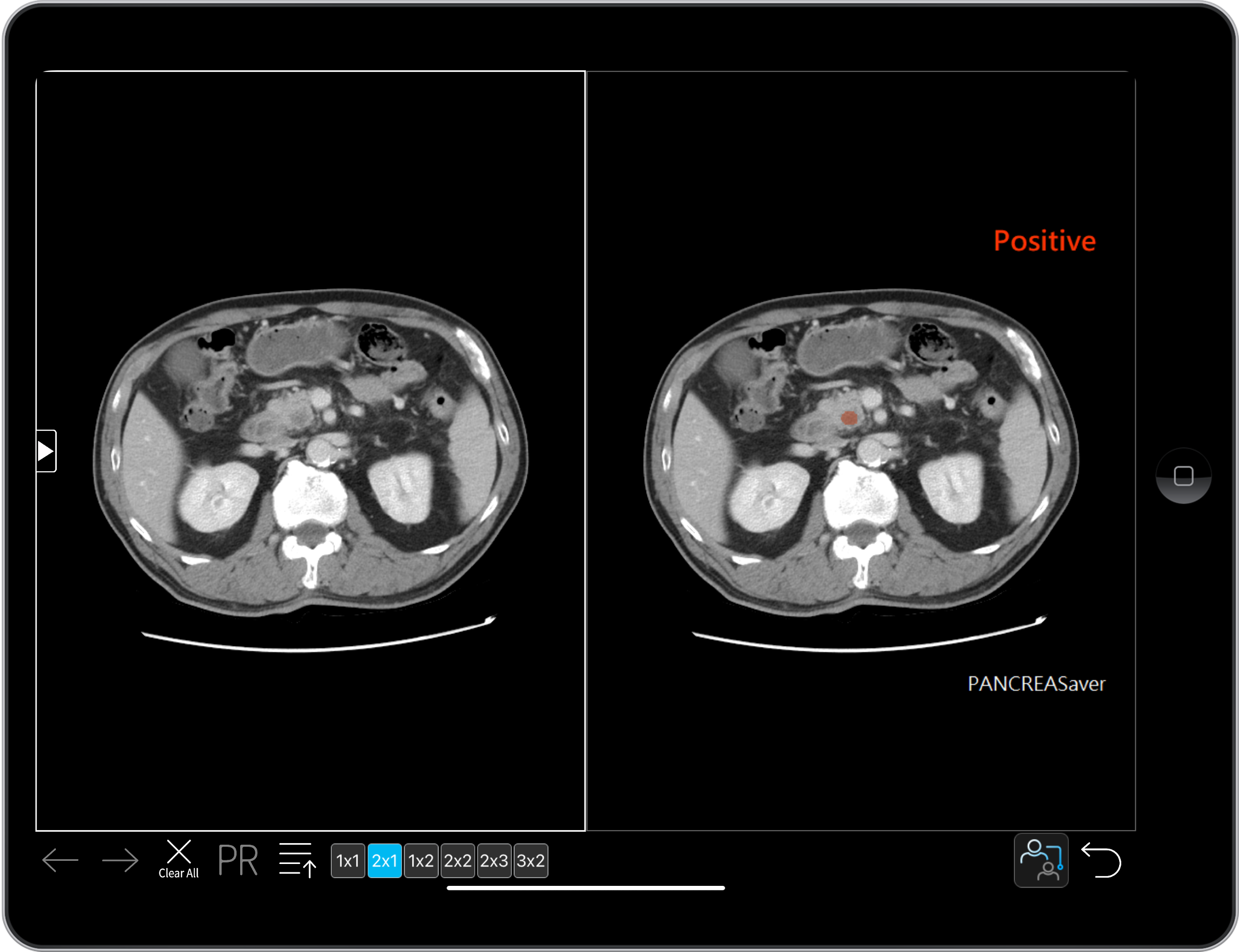
Left: Original Image
Right: AI Output (red: tumor location)
Learn more