Products
PANCREASaver® Innovative AI-assisted Detection Tool for Pancreatic Cancer
Pancreatic Cancer: The Invisible Killer-Early Diagnosis Is Crucial for Pancreatic Cancer
Pancreatic cancer (PC) is the most lethal cancer and ranks as the seventh and third leading cause of cancer deaths in Taiwan and the US, respectively. Early detection is vital, because the 5 year survival rate after surgery drops from 80% to 20% once the tumor grows beyond 2 cm. Computed tomography (CT) is the major tool for detecting PC, but approximately 40% of tumors less than 2 cm are missed on CT.
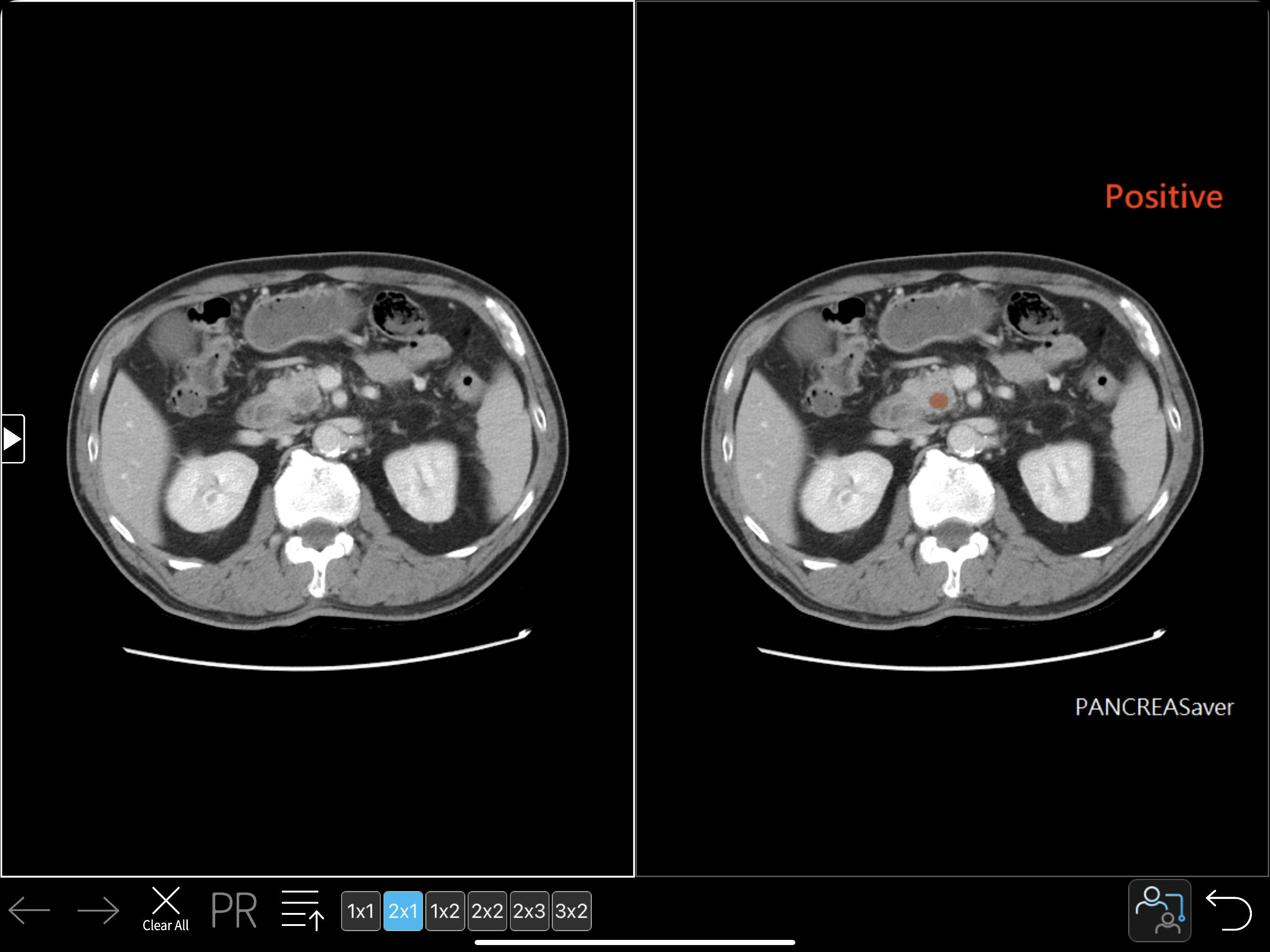
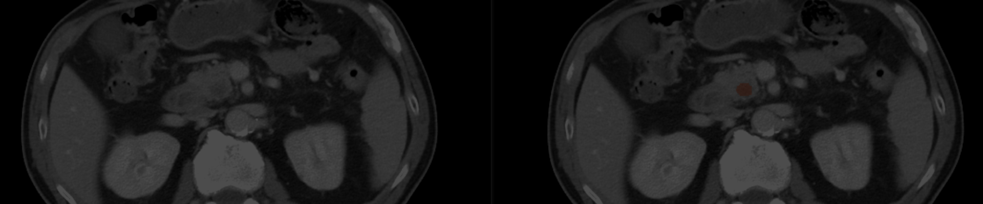
PANCREASaver is an automatic end-to-end tool which determines whether CT images harbor PC.
Approved by Taiwan Food and Drug Administration (TFDA) as a Software as a Medical Device (SaMD) (number 007946) Designated as Breakthrough Device by U.S. Food and Drug Administration (FDA) Pioneer in Taiwan to receive the RSNA Margulis Award Nationwide validation, continuous enrollment, and ongoing development Officially launched at National Taiwan University Hospital
PANCREASaver-Unveiling Pancreatic Cancer
PANCREASaver identifies missed pancreatic cancer, accurately differentiates subjects with or without pancreatic cancer on CT, and indicates the location of the tumor without requiring manual image labeling or preprocessing.
